Конха буллоза средней носовой раковины слева — это состояние, при котором происходит чрезмерное развитие или расширение средней носовой раковины, что может приводить к затруднению носового дыхания и нарушению дренажа синусов. Это аномалия, которая может быть случайной находкой при рентгенографическом или эндоскопическом обследовании носа.
Хотя конха буллоза может не вызывать выраженных симптомов, в некоторых случаях она может приводить к синуситу или другим носовым проблемам. Лечение обычно зависит от степени выраженности симптомов и может включать медикаментозную терапию или хирургическое вмешательство для коррекции анатомии носовой полости.
Что такое конха буллоза средней носовой раковины слева
Конха буллоза средней носовой раковины представляет собой патологию, при которой происходит чрезмерное развитие и утолщение кости средней носовой раковины, формируя при этом воздушное пространство внутри неё.
Средняя носовая раковина — это одна из ключевых структур, находящихся в носовой полости, и она играет критически важную роль в процессе дыхания, очистки и увлажнения воздуха, который мы вдыхаем.
Когда возникает конха буллоза, воздушная полость в раковине увеличивается, что сужает носовые проходы и может вызвать трудности с дыханием.
Это состояние может привести к заложенности носа, затруднениям в дыхании, хронизации воспалительных процессов в носу и околоносовых пазухах, а также головным болям.
Часто больные с этим состоянием страдают от хронического ринита либо синусита, поскольку нормальный отток слизи затрудняется.
Когда необходима операция?
- Постоянная заложенность носа: у пациентов с резко суженными носовыми ходами из-за увеличения средней носовой раковины наблюдается постоянная заложенность.
- Рецидивирующие синуситы: увеличение средней носовой раковины мешает оттоку слизи и поддерживает инфекционные процессы в околоносовых пазухах.
- Затрудненное дыхание: конха буллоза может препятствовать нормальному дыханию через нос, заставляя человека дышать ртом.
- Головные боли и чувство давления в носу: иногда конха буллоза вызывает постоянные головные боли и чувство давления в области лица.
- Подготовка к другим ЛОР-операциям: может потребоваться коррекция средней носовой раковины перед проведением других операций в области носа.
Пластическая операция по устранению конха буллозы средней носовой раковины выполняется с применением современных минимально инвазивных методов, таких как эндоскопия, и может проводиться как под местной, так и под общей анестезией.
- Подготовка к операции: требуется полное обследование, включая компьютерную томографию или рентген.
- Анестезия: возможно использование как местной, так и общей анестезии.
- Эндоскопическая пластика: хирург получает изображение внутренних структур носа при минимально возможном травматизации.
- Завершение операции: восстановление слизистой оболочки носа занимает около 30-60 минут.
Опасности булл
Небольшие буллы в носу могут быть случайной находкой при обследовании. Однако крупные образования способны смещать носовую перегородку в сторону, нарушая нормальное движение воздуха и затрудняя отток и вентиляцию околоносовых пазух.
Удаление крупных булл в носу служит профилактикой хронических риносинуситов. Воспаление слизистой оболочки и нагноение содержимого буллы может стать причиной развития этмоидита.
- стойкое нарушение дыхания;
- неконтролируемые хронические синуситы;
- гнойное воспаление буллы носа;
- хронический ринит.
Удаление буллы происходит только при наличии медицинских показаний; в остальных случаях доктор может выбрать наблюдательную тактику.
Как осуществляется удаление буллы носа?
В традиционном варианте резекции буллы применяется механическое разрушение стенок пузырька с помощью хирургических инструментов, что требует общей анестезии.
После разреза по краю раковины и отделения слизистой происходит резекция буллы. Обязательно проводят плотную тампонаду, чтобы предотвратить послеоперационные кровотечения.
Буллы небольших размеров удаляются полностью, в то время как объемные образования подлежат частичной резекции. Операция стремится минимизировать травму слизистой в верхней части носа.
Классическая подслизистая резекция буллезной носовой раковины является достаточно травматичной, и восстановление может занять несколько недель.
Конха буллоза средней носовой раковины слева: что это?
Сокращения:
СНР — средняя носовая раковина
CB — concha bullosa
Носовые раковины являются важными анатомическими структурами боковой стенки носа, необходимыми для нормального функционирования носовой полости.
Средняя носовая раковина (СНР) служит важной анатомической ориентирой при проведении оперативных вмешательств. Выделяются несколько основных анатомических вариантов СНР, среди которых очень распространённым является concha bullosa.
Задача данной работы — обобщить знания о распространенности, анатомо-топографических особенностях и клинических проявлениях пневматизированной СНР.
Материалы и методы
Для анализа использованы данные научных публикаций, представленных в информационных базах. Выбор материалов производился на основе ключевых слов.
Термин concha bullosa обозначает пневматизацию носовых раковин. Впервые пневматизацию СНР описал D. Santorinus в 1739 году. Частота встречаемости CB варьируется от 10 до 50%. Научное сообщество не имеет единого мнения относительно ее частоты.
Предшественниками носовых раковин у человека считаются этмотурбиналь и максиллотурбиналь, которые формируются к 40-му дню эмбрионального развития. Пневматизация СНР обычно наблюдается у людей с выраженной пневматизированной решетчатой пазухой.
Существует несколько гипотез о механизмах развития пневматизированной носовой раковины. Появление CB может быть связано как с наследственными, так и с ненаследственными факторами.
Изменения интраназальных структур у детей и взрослых
Исследования B. Samoliński и коллег [19] освещают изменения интраназальных структур у детей и взрослых в зависимости от пола и возраста. У женщин наблюдается большая площадь поверхности CB и большее количество пневматизированных решетчатых структур по сравнению с мужчинами. Учитывая, что объем полости носа у женщин относительно меньше, это может быть компенсаторным механизмом для увеличения площади поверхности носовой слизистой, чтобы обеспечить необходимые функции [20].
Существует иная гипотеза, которая предполагает, что микропереломы, особенно в СНР в позднем подростковом возрасте, могут становиться причиной инвагинации слизистой полости носа, распространяясь на буллезную полость [21, 22]. Так, H. Odat и соавт. [20] отметили, что у женщин площадь поверхности CB больше и предположили, что более тонкая решетчатая кость у женщин делает данную область более восприимчивой к множественным микротравмам.
Считается, что при искривлении носовой перегородки и наличии двусторонней CB пневматизация СНР более выражена на противоположной стороне, чем на стороне искривления. Это состояние часто описывают как компенсаторное. Предполагается, что неконтактированное пространство, образующееся после искривления перегородки, способствует развитию CB [16, 18].
Эта теория гласит, что с увеличением искривления перегородки носовая раковина на контралатеральной стороне будет увеличиваться в размерах в результате компенсаторного процесса пневматизации. Долговременный компенсаторный процесс более вероятен у взрослых, чем у детей с искривлениями носовой перегородки, следовательно, пневматизация средних носовых раковин на контралатеральной стороне должна быть более выраженной у взрослых по сравнению с детьми. Однако исследования L. Uzun и коллег [18] показывают обратное, указывая, что степень пневматизации на противоположной стороне не зависит от возраста и степени искривления. Таким образом, пневматизация не может быть компенсаторным процессом и может быть связана с генетическими факторами.
Гипотеза о врожденном происхождении предполагает связь между искривлением носовой перегородки и CB как двумя анатомическими вариантами, которые одновременно могут находиться в носу случайным образом [18]. Исследования K. Calhoun и коллег [23] и H. Unlú и коллег [24] показали, что между CB и искривлением перегородки на противоположной стороне нет статистически значимой связи.
K. Uygur и коллеги [25] предположили, что искривление перегородки носа не вызывает образование CB, а усиливает пневматизацию уже существующей CB на контралатеральной стороне по отношению к искривлению перегородки. Предполагаемая врожденная этиология CB [26, 27] связана с распространением пневматизации пазухи в носовую раковину или аномалиями слияния в период эмбрионального развития.
Обнаружена корреляция между размерами CB и количеством аэрируемых решетчатых структур, что может свидетельствовать о их общей природе [20]. В процессе эмбрионального развития может произойти аномалия слияния костных структур, приводящая к образованию хрящевых слоев и их окостенению на 5-7 месяце внутриутробного развития. К 9-му месяцу данный процесс может привести к развитию пневматизации носовых раковин. У монозиготных близнецов феномен наличия или отсутствия CB имел внутрипарное сходство в 70% случаев, в то время как у дизиготных это соотношение составляло 25%. Высокие коэффициенты сходства CB у монозиготных близнецов по сравнению с дизиготными подразумевают влияние врожденных факторов на процесс пневматизации носовых раковин [26].
Классификация
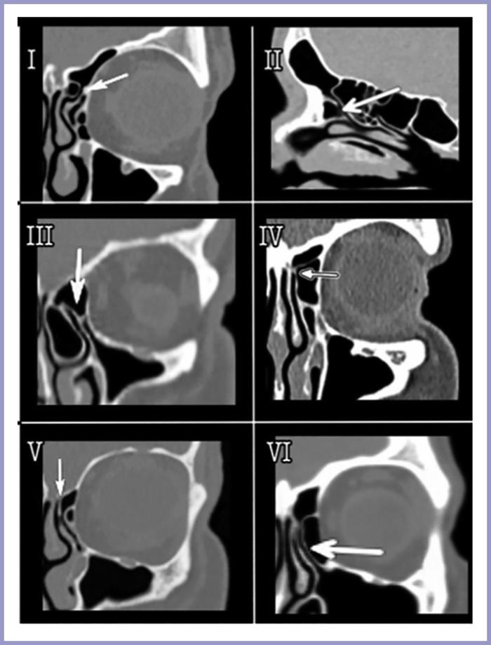
Пневматизация может затрагивать различные участки СНР. W. Bolger и сотрудники [9] выделяют три типа CB в зависимости от её локализации:
- ламеллярный тип — пневматизация вертикальной части СНР;
- бульбозный тип — пневматизация нижней части СНР;
- экстенсивный тип — пневматизация как вертикальной, так и нижней частей носовой раковины.
Наиболее распространённым (47,7% случаев) является ламеллярный тип CB. Частота появления бульбозного и экстенсивного типов варьируется от 21,0 до 33,3% и от 14,3 до 34,0% соответственно [24, 28].
В разработанной классификации ламеллярных клеток СНР выделено 5 категорий, которые различаются по уровню пневматизации вертикальной пластины СНР:

Рисунок 1. Варианты ламеллярных клеток. 3D-реконструкция.
- Тип 0: отсутствие ламеллярных клеток;
- Тип 1: пневматизация передней половины вертикальной пластины СНР на 50%;
- Тип 2: пневматизация задней половины вертикальной пластины СНР и базальной пластины СНР на 50%;
- Тип 3: сочетание первого и второго типов;
- Тип 4: тип 3, переходящий в бульбозный тип СНР.
Наиболее часто встречаются ламеллярные клетки первого типа, тогда как остальные типы наблюдаются реже: в убывающей частоте это типы 3, 2 и 4.
Ламеллярные клетки типов 3 и 4 обеспечивают полную пневматизацию в месте прикрепления средней носовой раковины. Во время манипуляций со СНР возможно повреждение этих клеток, что может привести к нестабильности СНР. Кроме того, они могут усложнить хирургическое вмешательство и требовать медиализации СНР [30]. Таким образом, ламеллярные клетки типов 3 и 4 должны быть идентифицированы на предоперационных компьютерных томограммах, чтобы операции проходили более осторожно.
С точки зрения хирургии, ламеллярные клетки типов 1 и 2 обычно не представляют опасности. Однако, вмешиваясь в хирургические процедуры, существует риск повреждения крупных клеток первого типа с тонкими стенками, что может стать причиной травмы передней части СНР в зоне её прикрепления к боковой стенке носа [29].
Возможно объединение двух классификаций. Ламеллярные клетки типов 1 и 2 можно отнести к классу 1 по Bolger, а клетки типа 4 — к экстенсивному типу по той же классификации [29]. В 1925 году L. Grunwald описал интерламеллярную клетку, находящуюся между вертикальной и горизонтальной пластинками СНР [31]. Изначально полагали, что клетки Грюнвальда возникают из-за пневматизации вертикальной пластины СНР и верхнего носового хода, хотя в некоторых случаях пневматизация может возникать из решетчатых клеток [29]. Эти клетки можно классифицировать как ламеллярные клетки второго типа.
Согласно исследованиям C. Calvo-Henriquez и соавторов [32], было выявлено значительное статистическое соответствие между наличием ламеллярных клеток и латеральным креплением крючковидного отростка.
Далее выделяются 6 типов локализации верхней точки крепления крючковидного отростка (superior attachment of the uncinate process, SAUP) [33]:
- Тип I: соединение с бумагой пластинки (52%);
- Тип II: соединение с задне-медиальной стенкой agger nasi (18,5%);
- Тип III: соединение как с бумажной пластинкой, так и с местом соединения СНР с ситовидной пластинкой (17,5%);
- Тип IV: соединение с местом соединения СНР и ситовидной пластинки (7%);
- Тип V: соединение с основанием черепа (3,6%);
- Тип VI: соединение с СНР (1,4%).

Рисунок 2. Различные типы SAUP. Результаты компьютерной томографии.
Обнаружено, что латеральные формы SAUP (типы I, II и III) чаще встречаются при наличии ламеллярных клеток [32]. Примечательно, что при латеральной локализации SAUP лобный карман открывается непосредственно в средний носовой ход, к медиальной стороне от крючковидного отростка. Таким образом, при таких условиях наблюдается более высокий риск фронтита [34, 35].
Таким образом, наличие ламеллярных клеток имеет важное клиническое значение. В этих случаях необходимо тщательно исследовать SAUP, так как при наличии ламеллярных клеток повышается вероятность латерального прикрепления крючковидного отростка, что часто связано с развитием фронтита. В таких ситуациях разумно проводить полное удаление крючковидного отростка, поскольку неполное вмешательство может способствовать стойкому риносинуситу [32, 34].
Клинические проявления
Уровень пневматизации СНР связан с выраженностью клинических симптомов. При первом типе CN обычно не наблюдается каких-либо симптомов, однако типы 2 и 3 могут негативно повлиять на функцию остиомеатального комплекса, затрудняя отток содержимого из пазух, что приводит к отеку в области среднего носового хода и может спровоцировать синусит.
Наиболее часто встречающимися симптомами при наличии выраженной пневматизации CN являются заложенность носа и боль в области лица. Опухание носовых раковин, особенно в средней части носовой полости, может привести к контакту с носовой перегородкой или боковой стенкой носовой полости в чувствительных областях, что является триггером для возникновения головной боли [36].
Синдром головной боли СНР и резекция буллы носовой раковины
Головная боль может возникать даже при отсутствии воспалительных процессов в носовой полости и околоносовых пазухах. Этот вид головной боли называется синдромом головной боли СНР и проявляется периодическими болями, которые локализуются в области глазниц, между глазами, на щеках и лбу. Боль, как правило, односторонняя, тупая, ноющая, может длиться от нескольких часов до нескольких суток и не поддается действию обычных анальгетиков. Она сопровождается такими симптомами, как заложенность носа и давление в глубине носовой полости.
Слизистая оболочка, выстилающая буллезную раковину, аналогична таковой в других пазухах. Как и другие пневматизированные клетки, буллезная раковина обладает мукоцилиарной транспортной системой, а её соустье соединяет воздухопроводы с лобным карманом. Обструкция соустья может происходить под воздействием травмы, полипов или новообразований, что может привести к образованию мукоцеле, представляющему собой кисту, выстланную эпителием и заполненную слизью, которая может увеличиваться в размерах. При инфицировании мукоцеле происходит формирование мукопиоцеле (пиоцеле СНР или эмпиема буллезной раковины).
Резекцию обычно проводят в латеральной части наращенной носовой раковины. Так как симптомы более выражены при бульбозном и экстенсивном типах CN, пациенты с этими типами, особенно в больших размерах, часто испытывают значительное облегчение после операции.
Проведение операции в нашем Центре
Мы реализуем резекцию булл с использованием щадящей эндоскопической методики. Это подразумевает отсутствие внешних разрезов, минимальное вмешательство и точность действий благодаря современному видеоэндоскопическому оборудованию.
Операция осуществляется через естественные носовые ходы с применением тонкого эндоскопа — устройства с камерой и освещением. Хирург получает четкое изображение внутренней структуры носовой полости, что позволяет точно определить объем вмешательства и действовать максимально осторожно.
Главная задача заключается в удалении части увеличенной средней носовой раковины, которая препятствует свободному дыханию и создает давление на околоносовые пазухи. При этом сохраняются здоровые участки слизистой оболочки, что критически важно для нормального функционирования носа после вмешательства.
Мы применяем лишь щадящие методики, включая ультразвуковую (пьезо) хирургию и микроинструменты. Это позволяет минимизировать механическое воздействие и уменьшить риск послеоперационных осложнений, таких как кровотечения, отеки и спаечные образования.
Процедура обычно проводится под общей анестезией и занимает около часа. По завершении вмешательства в носовую полость могут быть установлены специальные тампоны или силиконовые дренажи для контроля оттока и снижения отеков.
Восстановительный период после операции
После резекции увеличенной носовой раковины восстановление обычно проходит легко и без осложнений. В первые дни возможно проявление умеренного отека, заложенности и легкого дискомфорта — это нормальная реакция организма на вмешательство. Подобные симптомы исчезают самостоятельно или могут быть купированы лекарственными средствами, назначенными врачом.
Чтобы избежать осложнений, на первой неделе рекомендуется избегать физических нагрузок, резких наклонов, перегревания и перелетов. Также необходимо промывать носовую полость физиологическим или специальным солевым раствором для поддержания гигиены и ускорения заживления слизистой.
Мы всегда предоставляем четкие индивидуальные рекомендации и сопровождаем пациента в процессе восстановления после операции. Обычно полное восстановление занимает от 1 до 2 недель, а возможность свободного носового дыхания становится заметной уже через несколько дней.
Возможность свободного дыхания — это не роскошь, а необходимость. Мы проводим резекцию буллы носовой раковины с использованием щадящей эндоскопической технологии. Это малотравматичная процедура, после которой пациенты ощущают улучшение дыхания. Мы акцентируем внимание не только на хирургической технике, но и на комфорте в процессе восстановления.
Показания к операции
Операция выполняется только при наличии определенных показаний:
- постоянные нарушения дыхания, вызванные значительным сужением и деформацией носовых ходов;
- хронические синуситы, не поддающиеся консервативному лечению, связанные с деформацией и неправильно работающими соустьями пазух;
- гнойное воспаление буллы носа;
- все виды хронического ринита, вызванные постоянным раздражением слизистой оболочки носа из-за буллезных стенок.
В некоторых ситуациях специалист может предложить подход с наблюдением, при котором динамика изменений размера и состояния образования мониторится с течением времени. Если наблюдается увеличение буллезной раковины и смещение перегородки носа, это может привести к ухудшению циркуляции воздуха, затруднению оттока секрета из слизистой и развитию воспалительных процессов в параназальных пазухах. В такой ситуации удаление крупной буллы носа осуществляется с целью предотвращения хронических риносинуситов.
Противопоказания
- коагулопатия;
- серьезные соматические заболевания пациента;
- некомпенсированный диабет;
- злокачественные опухоли.
Эндоскопическая хирургия дает возможность максимально сохранить и восстановить естественные функции слизистой оболочки носовой полости и пазух. Это приводит к улучшению носового дыхания и нормализации местного иммунитета в области носа. Среди преимуществ эндоскопического вмешательства можно выделить:
- отсутствие разрезов на коже;
- высокая точность визуализации операционного поля;
- максимальное сохранение здоровых тканей;
- низкая степень травматичности;
- уменьшение отечности;
- сниженный риск носового кровотечения и образования рубцов в полости носа.
