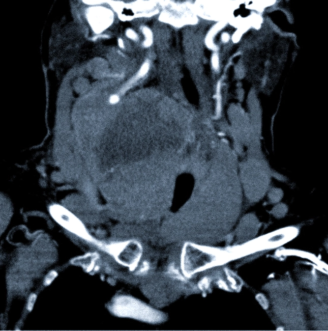
Компьютерная томография (КТ) щитовидной железы с использованием контрастных веществ позволяет получить детализированные изображения этой железы и окружающих её тканей. Этот метод исследования может быть очень полезным для диагностики различных заболеваний и патологий щитовидной железы.
КТ с контрастом может выявить следующие состояния:
- Опухолевые образования: канализация злокачественных и доброкачественных опухолей, их размеры и распространение.
- Воспалительные процессы: выявление воспалительных заболеваний щитовидной железы, таких как тиреоидит.
- Анатомические изменения: обнаружение аномалий в строении щитовидной железы и окружающих тканей.
- Увеличение щитовидной железы: оценка размеров и структуры увеличенной щитовидной железы (зоб).
Перед проведением КТ важно сообщить врачу о наличии аллергий, особенно на йодосодержащие контрастные вещества, а также о наличии заболеваний почек, так как это может повлиять на выбор метода диагностики.
С помощью КТ можно также оценить взаимосвязь щитовидной железы с соседними структурами, такими как трахея и пищевод, что может быть важным при планировании хирургического вмешательства.
КТ щитовидной железы с контрастом является безопасной процедурой, но как и любое рентгенологическое исследование, она может иметь ограничения, и ее назначение должно быть обоснованным. Обязательно проконсультируйтесь с квалифицированным специалистом для интерпретации результатов исследования.
Какова роль компьютерной томографии щитовидной железы?
КТ щитовидной железы помогает в подробном анализе тканей шеи и выявлении любых аномалий в их структуре. Эта процедура имеет критическое значение для подтверждения уже установленного диагноза и оценки эффективности терапии различных заболеваний.
Неожиданное изменение голоса
Такой признак может указывать на наличие новообразований и сдавление возвратного нерва. Показатели КТ щитовидной железы помогают выявить опухоли в области горла, а также определить наличие воспалительных процессов и причины резкого изменения голоса пациента.
Проблемы с глотанием
Если ощущаются дискомфорт или трудности при проглатывании пищи, это может указывать на воспаление щитовидки, известное как «тиреоидит». Эта патология может возникнуть из-за различных инфекций или обострения хронических вирусных заболеваний. В некоторых случаях КТ может выявить опухолевые образования, и своевременная диагностика таких состояний существенно влияет на успешность лечения.
Сжатие пищевода
При сжатии пациент может сталкиваться с затруднениями при глотании, чувством «комка» в горле и даже болями. Для выяснения причин этих неприятных ощущений требуется провести КТ, что позволит врачу оценить состояние щитовидной железы, поставить диагноз и назначить соответствующую терапию.
Заболевания трахеи
Своевременное КТ щитовидной железы позволяет выявить все структурные изменения, включая воспаления, кисты, опухоли и инфекции трахеи. При нарушениях в этом органе у пациентов могут наблюдаться боли, дискомфорт и сложности с дыханием.
Увеличенные лимфатические узлы
Причины увеличения лимфоузлов могут заключаться как в инфекционных процессах, так и в распространении метастазов из щитовидной железы. В таких случаях, если есть подозрения на онкологию, может понадобиться введение контраста перед исследованием.
Плюсы и минусы КТ
К положительным сторонам данного метода относится отсутствие необходимости в хирургическом вмешательстве и быстрота проведения процедуры. КТ обеспечивает четкие изображения и подробную визуализацию тканей исследуемой области, что позволяет врачу точно идентифицировать заболевание и его причины. Кроме того, КТ может помочь в мониторинге эффективности лечения и оценке динамики заболевания, что особенно важно в случаях с онкологическими патологиями.
Тем не менее, важно учитывать, что КТ щитовидной железы — это серьезное исследование, которое нельзя проводить слишком часто, рекомендуется не более двух раз в год. В сложных случаях количество обследований может возрасти до трех, с интервалом не менее одного месяца между ними. Чрезмерное насыщение организма радиацией может привести к повышенному риску развития различных заболеваний, включая рак, поэтому следует внимательно подходить к частоте процедур.
КТ с контрастом назначается, если есть подозрения на рак, однако вводить контраст нельзя при наличии аллергии на йод или других противопоказаний, таких как почечная недостаточность, сахарный диабет и гипертиреоз. После процедуры рекомендуется наблюдение за состоянием пациента, особенно при использовании контраста, поскольку могут возникнуть побочные реакции, такие как тошнота или аллергическая реакция. Важно также принять во внимание, что КТ не может полностью заменить другие диагностические методы, такие как УЗИ или МРТ, которые в некоторых случаях могут быть более информативными и безопасными.
Что можно выяснить с помощью КТ щитовидной железы?
С помощью компьютерной томографии врач может оценить форму, размеры и положение щитовидной железы, состояние лимфоузлов, паращитовидных желез и трахеи, а Выявить патологические изменения.

- увеличение щитовидной железы;
- очаговые изменения (кисты, узлы, аденомы, кальцинаты);
- воспалительные процессы;
- новообразования (доброкачественные или злокачественные — это уточняется после анализа образца);
- прорастание опухоли в трахею или сосудистые структуры;
- атрофические изменения или гипоплазия (уменьшение размеров или недоразвитие органов);
- нарушение кровообращения (артериальная и венозная гиперемия);
- кровоизлияния в ткани железы.
КТ щитовидной железы с контрастированием
Компьютерная томография щитовидной железы предполагает использование контраста, так как обычные снимки могут не предоставить полной картины о наличии узелков, сосудов и опухолей. Специальные йодсодержащие препараты вводятся внутривенно для улучшения визуализации: они быстро наполняют сосудистую сеть и подчеркивают патологически измененные участки на томограммах.

После введения контрастного вещества пациент может испытывать легкие побочные эффекты, такие как тошнота или металлический привкус во рту — это обычные реакции, не требующие дополнительного вмешательства.
- отек лица;
- сильное головокружение;
- кожный зуд или сыпь;
- ощущение першения в горле;
- затрудненное дыхание (бронхоспазм);
- резкое падение артериального давления;
- повороты в эмоциональном состоянии.
Если появляется хотя бы один из этих симптомов, необходимо немедленно обратиться за медицинской помощью, не дожидаясь завершения процедуры.
Противопоказания
Как и любой другой вид обследования, КТ щитовидной железы имеет свои противопоказания, главным образом связанные с использованием контраста и радиационной нагрузкой. Среди них:
- Беременность (особенно на начальной стадии).
- Тяжелая почечная недостаточность, если процедура проводится с контрастом.
- Аллергические реакции на йод, если планируется КТ с контрастом.
- Критическое общее состояние, когда пациент не может оставаться неподвижным.
- Возраст младше 14 лет (в большинстве случаев рекомендуется использовать другие методы диагностики).
- Некоторые заболевания щитовидной железы, такие как тиреотоксикоз, которые могут усугубляться из-за радиационной нагрузки.
Однако абсолютных противопоказаний не так много. Врач всегда проводит оценку рисков перед обследованием и, при наличии сомнений, подберет более безопасный метод диагностики, например, ультразвуковое исследование (УЗИ) щитовидной железы, которое не требует использования радиации.
Важно помнить, что перед проведением КТ щитовидной железы пациент должен сообщить врачу обо всех хронических заболеваниях, аллергиях и принимаемых лекарствах, что поможет избежать возможных осложнений и повысить безопасность процедуры.
Что можно выявить в ходе исследования?
КТ щитовидной железы в Москве позволяет обнаружить:
- Узлы щитовидной железы (как доброкачественные, так и потенциально злокачественные).
- Образования, включая опухоли.
- Кисты и участки обызвествления.
- Воспалительные изменения (например, тиреоидит).
- Диффузные изменения, связанные с аутоиммунными заболеваниями.
- Патологии паращитовидных желез.
- Распространение патологического процесса на окружающие ткани.
- Метастазы в шейные лимфоузлы.
Это исследование является комплексной диагностикой, позволяющей оценить локализацию процесса, его агрессивность и воздействие на здоровье пациента.
Кроме того, КТ щитовидной железы может помочь в:
- Определении размера и структуры узлов, что важно для планирования дальнейшего лечения.
- Выявлении ассоциированных патологий, таких как куриозные аномалии сосудов в области шеи.
- Уточнении степени вовлечения окружающих тканей и органов в патологический процесс.
- Подборе оптимальной стратегии лечения, будь то хирургическое вмешательство, радиотерапия или консервативная терапия.
Важно отметить, что КТ-исследование имеет некоторые противопоказания, такие как аллергия на контрастные вещества и беременность, поэтому перед проведением процедуры следует проконсультироваться с врачом. Также рекомендуется проходить данное исследование в специализированных клиниках с учетом соблюдения всех современных стандартов безопасности и качества.
Показания для проведения КТ щитовидной железы
Компьютерная томография щитовидной железы чаще всего назначается эндокринологами.
К показаниям для обследования могут относиться симптомы:
- травмы шеи;
- боли и дискомфорт во время глотания;
- трудности с дыханием или ощущение сдавленности в горле;
- резкое изменение голоса на короткий срок;
- увеличенные лимфатические узлы;
- новообразования;
- эмоциональная нестабильность и повышенная утомляемость;
- необъяснимая резкая потеря веса.
Томографию могут назначать перед хирургическим вмешательством для уточнения размеров и положения щитовидной железы, а также после операций для контроля за состоянием пациента.
Кроме того, исследование может потребоваться, если УЗИ не дало достаточной информации для диагностики.
КТ щитовидной железы с контрастированием
Если есть подозрение на наличие новообразований, врач может назначить КТ с контрастом. Контраст — это безопасное йодсодержащее вещество, которое позволяет лучше визуализировать кровеносные сосуды. Благодаря этому препарату новообразования становятся более заметными на снимках благодаря наличию большого количества сосудов.
Большинство пациентов во время обследования не ощущают дискомфорта от контрастного вещества, в редких случаях могут возникать легкие головокружения или тошнота, которые быстро проходят.
Во время КТ важно сохранять неподвижность для получения точных снимков. Это может быть сложно для детей и людей с неврологическими расстройствами, поэтому в таких случаях врач может предложить провести исследование под анестезией. Перед процедурой пациенту вводят специальный препарат для кратковременного сна. После завершения КТ пациент должен находиться в клинике около часа для наблюдения.
Так врач может убедиться, что нет побочных эффектов от препарата и пациент чувствует себя хорошо.
Противопоказания
Компьютерная томография щитовидной железы не проводится во время беременности и лактации. К общим противопоказаниям относятся:
- хроническая почечная недостаточность;
- миеломная болезнь;
- вес, превышающий максимально допустимую нагрузку на томограф.
Кроме того, применение контрастных средств противопоказано при эндокринных расстройствах, сахарном диабете, заболеваниях печени или почек и непереносимости йода.
Подготовка к исследованию
Компьютерная томография щитовидной железы с использованием контрастных средств проводится натощак, поэтому перед процедурой пациенту необходимо воздержаться от еды минимум за 6 часов. Разрешается только пить воду.
Магнитно-резонансная томография (МРТ)
Перед проведением процедуры пациент проходит в раздевалку, где снимает все украшения и одежду с металлическими элементами. При необходимости можно использовать специальный халат.
На следующем этапе пациент занимает лежачее положение на столе томографа. Важно обеспечить комфорт, так как в процессе обследования любое движение может исказить результаты. В некоторых случаях голову пациента дополнительно закрепляют специальными ремнями для большей стабильности. При необходимости на этом этапе может быть выполнено внутривенное введение контрастного вещества.
Затем начинается само исследование, в ходе которого выполняются необходимые снимки. Продолжительность процедуры варьируется от 15 до 30 минут, в зависимости от сложности конкретного случая.
